Todo empieza con un leve sangrado al cepillarte. Al principio, lo ignoras, pensando que se debe a un roce demasiado fuerte. Pero con el tiempo, el sangrado se hace más frecuente, las encías se ven inflamadas y tu aliento ya no es el mismo. Lo que parecía un simple problema de higiene podría ser el inicio de la piorrea dental, una enfermedad que afecta las encías y el hueso que sostiene los dientes. Esta afección, también conocida como periodontitis, no aparece de la noche a la mañana, sino que se desarrolla lentamente hasta que sus efectos son irreversibles. El diagnóstico temprano en una clínica dental es clave para evitar daños irreversibles.
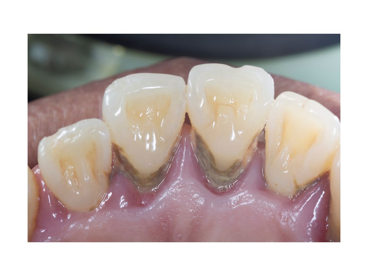
La piorrea es el resultado de una acumulación excesiva de placa bacteriana que no se elimina correctamente con el cepillado. Con el tiempo, esta placa se endurece y se convierte en sarro, un depósito que irrita las encías y provoca inflamación. Esta inflamación, conocida como gingivitis, es la primera fase de la enfermedad. Si no se trata, las encías empiezan a separarse de los dientes, formando bolsas donde se acumulan más bacterias, lo que daña el tejido y el hueso que los sostiene. En este punto, la piorrea ya está avanzando.
Algunos factores pueden hacer que la piorrea se desarrolle con mayor rapidez. El tabaco, por ejemplo, reduce la capacidad de las encías para regenerarse, lo que agrava el problema. La diabetes y el estrés también pueden empeorar la inflamación, debilitando las defensas naturales de la boca. Incluso una alimentación pobre en vitaminas esenciales puede favorecer el avance de la piorrea dental.
¿Cómo saber si tengo piorrea?
Si al cepillarte notas que tus encías sangran con facilidad o están más rojas de lo habitual, podrías estar experimentando los primeros síntomas de la piorrea dental. Al principio, el sangrado puede ser ocasional y poco molesto, pero con el tiempo se vuelve más frecuente y las encías comienzan a retraerse. Este proceso no solo afecta la estética de tu sonrisa, sino que también deja expuestas las raíces de los dientes, haciéndolos más sensibles al frío, al calor e incluso a ciertos alimentos.
A medida que la piorrea avanza, es común notar un mal aliento persistente que no desaparece con el cepillado ni con el uso de enjuagues bucales. Este síntoma es una señal clara de que las bacterias se están acumulando en las bolsas periodontales y están liberando toxinas que afectan los tejidos. También puede aparecer un sabor desagradable en la boca, algo que muchas personas describen como metálico o amargo.
Uno de los signos más preocupantes de la piorrea es la movilidad dental. Cuando la enfermedad ha avanzado lo suficiente, el hueso que sostiene los dientes se debilita, lo que hace que estos empiecen a moverse. Si en algún momento notas que un diente se siente flojo o cambia ligeramente de posición, es fundamental acudir al dentista lo antes posible. La piorrea no se detiene por sí sola y, sin tratamiento, puede provocar la pérdida de dientes de forma irreversible.
¿Tiene cura la piorrea?
Cuando el dentista te confirma el diagnóstico de piorrea, es normal preguntarse si hay una solución. La respuesta es sí, pero el éxito del tratamiento dependerá del grado de avance de la enfermedad y del compromiso que tengas con el cuidado de tu boca. En las primeras fases, cuando la infección aún no ha dañado el hueso, una limpieza profunda puede ser suficiente para frenar su progresión. Este procedimiento elimina la placa y el sarro acumulados en las encías, permitiendo que se recuperen.
En los casos más avanzados de piorrea dental, el tratamiento puede requerir un raspado y alisado radicular, un procedimiento en el que el dentista limpia las raíces de los dientes para eliminar bacterias y sarro. A veces, se recetan antibióticos para controlar la infección y evitar que siga dañando el tejido. Si la destrucción ósea es severa, pueden ser necesarias cirugías periodontales para regenerar el hueso perdido y devolverle estabilidad a los dientes.
Más allá del tratamiento profesional, mantener una buena higiene oral es clave para evitar que la piorrea vuelva a desarrollarse. Cepillarse los dientes después de cada comida, usar hilo dental y acudir a revisiones periódicas con el dentista puede marcar la diferencia entre salvar tus dientes o perderlos con el tiempo. La piorrea dental es una enfermedad crónica, pero con los cuidados adecuados, se puede mantener bajo control y evitar consecuencias graves.
Preguntas frecuentes sobre la piorrea
¿La piorrea es contagiosa?
No se transmite como un virus o una gripe, pero las bacterias que la provocan pueden pasar de una persona a otra a través de la saliva, por ejemplo, al compartir cubiertos o al besar.
¿Puede la piorrea causar la pérdida de dientes?
Sí. Si no se trata a tiempo, la infección destruye el tejido y el hueso que sostiene los dientes, lo que hace que se aflojen y terminen cayéndose.
¿Cómo puedo prevenir la piorrea?
La mejor forma de prevenirla es mantener una higiene oral adecuada, evitar el tabaco y acudir al dentista regularmente para detectar cualquier problema a tiempo.
¿La piorrea afecta solo a personas mayores?
No. Aunque es más común en adultos, puede afectar a cualquier persona con una higiene oral deficiente, independientemente de su edad.
¿Es dolorosa la piorrea?
En sus primeras etapas, no suele causar dolor. Sin embargo, a medida que avanza, puede generar molestias, sensibilidad dental e incluso dolor al masticar.

